Smile Gallery

In Carrollton, TX

Implants

Dental implants before photo.
Dental implants after photo.

Dental implants are considered a third set of teeth. The advantage is you cannot get dental cavities on dental implants.

Sports Injury

Sports Injury - Emergency Dental
Sports Injury - dental emergency after photo

Upper front teeth are often the victims of trauma in contact sports. An esthetic porcelain crown will restore your smile to its former glory.

Composite / Tooth Bonding

Dental emergency before photo with broken front tooth.
Dental emergency after photo with fixed front tooth.

If your child breaks a tooth during a contact sport, their beautiful smile can be restored with composite bonding.

Crowns

Dental emergency before photo showing a broken tooth
Dental emergency photo showing tooth after repair.

Refreshing the smile doesn’t have to be extensive. A couple of esthetic porcelain crowns can rejuvenate your smile.

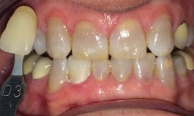
Smile Makeover

Smile makeover before photo
Smile makeover before photo

The best kind of dental work is the type that fits your natural form and function. Smile makeover doesn’t necessarily have to be whiter, but should be in a way to aid in a wider smile and smooth flowing contours.

Smile Makeover

Real patient smile makeover procedure before photo
Real patient smile makeover procedure after photo

Longer, slender crowns often give a youthful appearance.

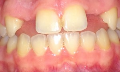
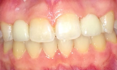
Orthodontics

Orthodontics before photo
Orthodontics after photo

Did you know that you don’t need to wait for all the permanent teeth to be erupted before starting braces? It is beneficial to start braces at a younger age and help redirect growth in a favorable fashion.

Composite Bonding

Real patient composite bonding before photo
Real patient after composite bonding

It is very affordable and quick to have the spaces between your teeth closed. Composite bonding is done in-office and bonding is an easy way to close gaps between your teeth.

Teeth Whitening

Real patient before teeth whitening
Real patient after teeth whitening

With the latest technology in whitening it is possible to eliminate fluoride and tetracycline stains.

Dentures

Real patient before denture procedure
Real patient after denture procedure

Properly made dentures can change your facial appearance.

Crown & Bridge Work

Crown and bridge real patient before photo
Real patient crown and bridge after photo

Congenitally missing teeth can cause confidence issues in teens and young adults. Maryland bridge is a great option till the young adult is ready for dental implants

Schedule a consultation

Ready to get started?

If you’re ready to schedule an appointment with Dr. Bhandaru, we invite you to take the next step by clicking the ‘Book a Consultation’ link below. Alternatively, feel free to email us, and our team will be delighted to assist you in setting up your appointment.

Book a Consultation

Book Now
Call Email Book